There's a great deal in a grin, as indicated by Michael Krochak, and not …
Read moreTo secure ourselves and our families, as all of you know, regular hand washing…
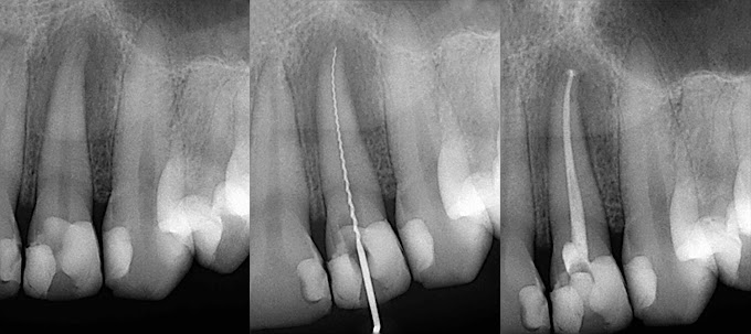
Read moreInside every tooth is delicate tissue called, "the mash", which goe…
Read moreTMD represents Temporo-Mandibular Disorder which is a neuromuscular awkwardnes…
Read moreThe universe of dentistry is dangerously evolving. A large number of the mater…
Read moreDental inserts are titanium chambers put in the jawbone where unique teeth are…
Read morePeriodontal Disease is the breakdown of the gum tissues and bone that encompas…
Read moreThe way into a decent dental encounter is a compelling, nontraumatic infusion …
Read moreAs per an American Academy of Cosmetic Dentistry public overview, Americans p…
Read moreCustomers have been immersed in promoting different Do IT Yourself Orthodontic…
Read moreDr. Michael Krochak on Overcoming Dental Anxiety Do you Suffer From Anxiety? …
Read more
Social Plugin